When 70-year-old Mr. Zhang opened his eyes again, he was told the surgery had succeeded and his only kidney was preserved. Overwhelmed, he shed tears of joy. After losing one kidney, facing a renal tumor again, traditional nephron-sparing surgery seemed impossible. What was the solution? Remove the kidney, excise the tumor and venous thrombus on a "workbench," then reimplant the kidney! Recently, the first domestic "workbench" nephron-sparing surgery for renal cancer with venous thrombus was completed at Renji Hospital, School of Medicine, Shanghai Jiao Tong University, allowing Mr. Zhang to keep his precious "solitary kidney" and avoid dialysis.
12 Years After Right Nephrectomy, Left Kidney Fails
According to the latest data released by the National Cancer Center in 2023, China sees approximately 75,000 new renal cancer cases and 27,000 deaths from renal cancer each year, both showing year-on-year increases.
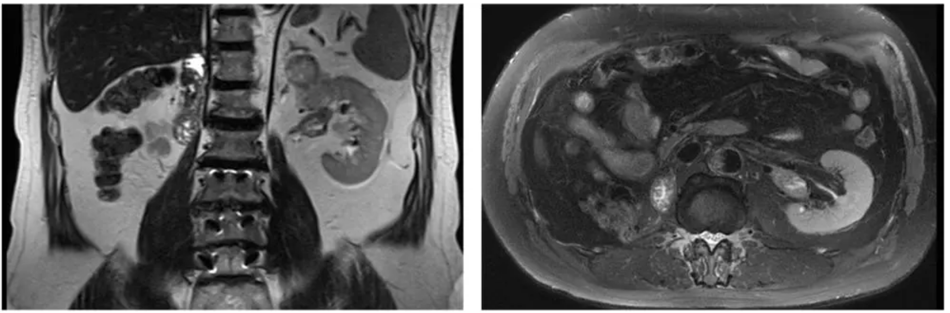
Mr. Zhang from Shanxi, was diagnosed with a right renal tumor combined with inferior vena cava thrombus 12 years ago. He underwent radical right nephrectomy with vena cava thrombus removal at Renji Hospital, and the postoperative pathology confirmed clear cell renal carcinoma.

Thereafter, Mr. Zhang, left with only a left kidney, paid great attention to renal function protection, undergoing regular physical examinations annually to ensure the kidney worked normally.
Until June this year, his kidney "broke down" again: a tumor was detected in his precious solitary left kidney, and this time, the tumor had invaded the renal vein. The result was a bolt from the blue for Mr. Zhang. To save this kidney, he visited major urological centers across the country, but all proposed radical nephrectomy followed by regular hemodialysis.
Solitary Kidney: The Urgent Wish to Preserve Renal Function
Huang Jiwei, an associate chief physician in the Urology Department of Renji Hospital, explained that early renal cancer often shows expansive growth, with a pseudocapsule usually forming between the tumor and normal renal parenchyma. Based on this anatomical feature, surgeons typically incise along the pseudocapsule to enucleate the tumor completely, protecting normal renal tissue as much as possible. This is the so-called partial nephrectomy, or nephron-sparing surgery, which removes the tumor while maximizing renal function preservation.
Currently, nephron-sparing surgery has become the standard treatment for early localized renal tumors. However, when renal tumors progress locally, such as invading the venous system or perirenal tissues, it is considered a relative contraindication for nephron-sparing surgery. Domestic and international guidelines generally recommend radical nephrectomy to ensure complete tumor resection.
With a solitary kidney and a renal tumor invading the renal vein, the standard treatment meant removing the kidney again and enduring long-term dialysis.
Mr. Zhang could not accept this outcome. If he had to rely on dialysis for the rest of his life, he felt it unimaginable. To maintain his quality of life, he had only one wish: to preserve his kidney.
Multidisciplinary Consultation Launches Kidney Preservation Campaign
Hoping for a solution, Mr. Zhang returned to the Urology Department of Renji Hospital.
For this special case, Professor Xue Wei, Vice President of Renji Hospital and Director of the Urology Department, and Professor Huang Yiran, Chief Physician, attached great importance. They immediately convened the renal tumor team for in-depth discussions and organized a multidisciplinary MDT meeting with experts from the renal transplantation group, oncology, nephrology, radiology, and intensive care units.
After repeated discussions, the expert group decided to help Mr. Zhang preserve his only kidney.
"Mr. Zhang is a patient with a solitary kidney and locally advanced renal cancer—T3a stage. Nephron-sparing surgery is extremely difficult, but we must attempt it; otherwise, he will be confined to lifelong dialysis," said Xue Wei. "There are many such patients, and nephron-sparing surgery for them is of great significance. As a national key specialty, the Urology Department of Renji Hospital must take on this challenge and launch a 'kidney preservation campaign.' If traditional techniques are insufficient, we innovate—solve it on the 'workbench.'"
Autologous Kidney Transplantation with Only 3 Minutes of Warm Ischemia Time
After this consultation, Mr. Zhang regained confidence. After five courses of targeted combined immunotherapy as neoadjuvant treatment, the tumor and renal vein thrombus shrank, with serum creatinine maintaining around 140 μmol/L. When all preparations were complete, he returned to Renji.
Under the leadership of Xue Wei, and with the joint efforts of Associate Chief Physicians Huang Jiwei, Yuan Xiaodong, Kong Wen, Chief Physician Dong Baijun, and physicians Zhuang Shaoyong, Chen Qiong, Ji Fuhao, etc., Mr. Zhang's renal tumor was resected, his kidney preserved, and renal function restored.
The workbench nephron-sparing plan of Renji Hospital's Urology Department was revealed: "Workbench partial nephrectomy + venous thrombus removal + autologous kidney transplantation."
First, surgeons laparoscopically resected the left solitary kidney intact, preserving the renal artery, vein, renal pelvis, ureter, and other tissues. A renal transplantation incision was made in the lower abdomen to remove the kidney, which was then transferred to the surgical workbench. The kidney was perfused with preservation solution for cold ischemia, with warm ischemia time only 3 minutes.

Next, on the workbench, surgeons meticulously dissected and completely resected the renal tumor, renal vein, and thrombus in the renal vein branches, then tightly sutured the renal incision—this process took only 15 minutes.
Finally, the renal transplantation team reimplanted the kidney into the patient's body. Upon restoring blood supply, urine flow was observed. After about two weeks, the patient's serum creatinine recovered to 130 μmol/L, even better than the preoperative level.
According to Dr.Huang Jiwei, the workbench nephron-sparing surgery for renal cancer with thrombus successfully performed by Renji's Urology Department is the first of its kind in China. This approach is expected to further expand the application scope of nephron-sparing surgery.